Utredning ved nevroendokrine svulster
Utredningen er i prinsippet som for andre kreftformer, men enkelte undersøkelsesformer er spesielt egnet for denne kreftformen.
Ikke helt sjelden påvises den nevroendokrine svulsten tilfeldig i forbindelse med utredning av en annen tilstand. På samme måte finner man av og til ved obduksjoner en nevroendokrin svulst som ikke kan ha gitt symptomer og som ikke har noe med dødsårsaken til personen å gjøre. Således er det en del personer som har en nevroendokrin svulst uten at den noen gang gir opphav til plager.
Utredning er i utgangspunktet aktuelt i to situasjoner:
- Pasienten har helseplager som medfører utredning. Man får under denne utredningen funn som gir mistanke om kreft. Ofte er det når man til slutt får en vevsprøve av en oppdaget svulst at diagnosen nevroendokrin kreft stilles. Det er sjelden man utfra pasientens helseplager har mistanke om nevroendokrin kreft før utredningen startes. Denne mistanken kan man ha dersom pasienten har spesifikke hormonsymptomer som passer med nevroendokrin kreft.
- Pasienten har fått påvist tilfeldig en svulst under utredning eller kontroll av en annen helseplage.
I begge tilfeller er utredningen viktig for å kartlegge utbredelsen av sykdommen og behandlingsvalg.
Prinsipielt er utredning av nevroendokrin svulst i utgangspunktet som for utredningen av andre krefttilstander, men enkelte undersøkelsesmetoder som Gallium-PET er spesielle for nevroendokrin kreft.
Utredningsmetoder
-
- Sykehistorie
- Laboratorieprøve
- Røntgenundersøkelser: CT, MR, ultralyd
- Gastro- og koloskopier, kapselendoskopier
- Bronkoskopi
- Nukleærmedisinske undersøkelser: Gallium-PET (mest følsom for nevroendokrine svulster, mindre følsom for NEC – nevroendokrine carcinomer), FDG-PET (mer følsom for aggressive former for Nevroendokrin kreft – NEC enn for Gallium-PET).
- Vevsprøver
Sykehistorie
Kan gi mistanke om en nevroendokrin svulst, særlig ved symptomer fra hormoner.
Blodprøver
Vanlige blodprøver er oftest normale. De fleste nevroendokrine svulster skiller ut chromogranin A. Nivået av dette proteinet, som kan måles i blodet, stiger nesten alltid utover normalt nivå når det er nevroendokrine svulster til stede. Når svulstene er små kan allikevel nivået av chromogranin A i blodet være normalt. Nivået øker ved økende svulstmengde. Chromogranin A kan imidlertid også være forhøyet ved en rekke andre tilstander, og tolkning av forhøyede prøveverdier kan være svært vanskelig.
Tilstander som kan gi forhøyet chromogranin A:
- Nevroendokrine svulster
- Bruk av medisin mot magesår/sure oppstøt (Nexium® (omeprazol), Lanzo®( lansoprazol), Somac® (pantoprazol)).
- Kronisk magekatarr (gastritt)
- Nyresvikt
- Leversvikt
- Forstyrrelser i andre hormonproduserende organer
- Enkelte andre krefttyper
Røntgenundersøkelser
Ved hjelp av disse undersøkelsene kan en svulst påvises. Noen ganger kan imidlertid svulstene være såpass små, eller ligge slik til, at de ikke identifiseres på røntgenundersøkelsene. Ofte må det brukes kontrast på CT undersøkelsene for at svulsten skal oppdages (intravenøs kontrast i arteriell og portovenøs fase).
Likeledes vil MR-oppdage flere svulster og gi bedre tolkningsmuligheter av sykelige forandringer ved bruk av kontrast. MR er bedre til å påvise svulster i skjelettet enn CT.
Nukleærmedisinske undersøkelse
Det er to typer PET «kontrast» som er aktuelle:
- FDG (18FDG-PET). Mest følsom for nevroendokrine carcinomer, mindre eller lite følsom for nevroendokrine svulster.
- Gallium ( 68Gallium-PET). Meget følsom for nevroendokrine svulster. Gjøres for eksempel for å få en eksakt kartlegging av sykdommens utbredelse og vurdere om det er behov for behandling eller endring av behandling.
Gastroskopi
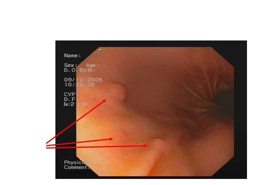
Utføres ved at en slange med et videokamera i enden føres via munnen nedover i spiserør, magesekk, tolvfingertarm og litt videre nedover i tynntarm. Undersøkelsen gir god oversikt over innsiden av disse organene. Man kan ved denne prosedyren ta vevsprøver av sykelige tilstander som måtte påvises.

Bildet viser flere nevroendokrine svulster, og er tatt gjennom gastroskop. Den største svulsten måler 5 mm. Foto: Gastroenterologisk undersøkelsesavdeling, Oslo universitetssykehus
Koloskopi
Utføres ved at en slange med et videokamera i enden føres via endetarmsåpningen oppover i tykktarmen og inn i siste del av tynntarmen og gir god oversikt over disse områdene. Det er normalt ikke mulig å få oversikt over hele tynntarmen ved hjelp av denne undersøkelsen og gastroskopiundersøkelsen. Man kan ved denne prosedyren ta vevsprøver av sykelige tilstander som måtte påvises.

Foto: Oslo universitetssykehus
Bilde av en svulst i tynntarmen. Bildet er tatt under en kolonoskopi, og viser nevroendokrin svulst i siste del av tynntarmen. Svulsten måler 15 mm. Foto: Gasteroeneterlogisk undersøkelsesavdeling ved Oslo Universitetssykehus
Bronkoskopi
Utføres ved at en slange med et videokamera i enden føres via nesen og nedover i lungene via luftveiene. Undersøkelsen gir en god oversikt over deler av luftveiene. Man kan ved denne prosedyren ta vevsprøver av sykelige tilstander som måtte påvises.
Kapselendoskopi
Er en liten kapsel pasienten svelger og som kan ta bilder mens den glir igjennom tynntarmen. Avfotograferer det meste av tynntarmen, men kan overse sykelige forandringer.
Vevsprøver
Den endelige diagnosen baserer seg på undersøkelse av vevsprøve under mikroskop. Disse vevsprøvene er hentet ut under en operasjon eller ved hjelp av en tynn nål stukket inn i svulsten (biopsi) under synsveiledning av et ultralydapparat eller en CT-maskin. Nevroendokrine svulster har et spesielt utseende som gjenkjennes av en patolog, gjerne etter at vevsprøven er behandlet med forskjellige fargestoffer (chromogranin A, synaptofysin).

Bildet viser del av tynntarm, med omrisset av svulst nederst i bildet - sett gjennom mikroskop.
Patologen vurderer også hvor stor andel av cellene i svulsten som er i ferd med å dele seg, jo flere desto mer ondartet er svulsten (se Klassifikasjon og terminologi). Andelen celler i deling angis som Ki-67%. Er Ki-67 5% er 5% av cellene i svulsten i ferd med å dele seg. Svulstens Ki-67% har betydning for valg av behandlingsmetode.











