Klassifisering og terminologi ved nevroendokrine svulster
Klassifisering og terminologi baseres på svulstens veksthastighet, samt hvilket organ den oppstod. Det er stor variasjon i aggressivitet.
En svulst er betegnelse på en ansamling, en «klump», av celler som har dannet seg uten at denne ansamlingen har noen fysiologisk nytteverdi for kroppen. Årsaken er forstyrrelser av vekstmønstret hos disse cellene. En svulst kan være godartet, det vil si at den ikke kan vokse inn i naboorganer eller spre seg til andre deler av kroppen. En ondartet svulst, en kreftsvulst, vil kunne gjøre dette. De aller, aller, fleste nevroendokrine svulster kan vokse inn i naboorganer og spre seg til andre steder i kroppen og er følgelig ondartede svulster, det vil si kreftsvulster.
Den endelige diagnosen nevroendokrin kreft er vanligvis basert på undersøkelser av vevsbiter fra svulsten i mikroskopi utført av en patolog. Disse vevsbitene er hentet fra pasienten, enten ved at svulsten er operert ut, eller at man tar vevsprøver ved å stikke hule nåler gjennom huden og inn i svulsten (biopsi). Det kan også tas vevsprøver av svulster under kolo- gastro og bronkoskopi undersøkelser (se utredning).
Basert på svulstvevets utseende i mikroskop får patologen mistanke om at det kan dreie seg om en nevroendokrin svulst. For å bekrefte mistanken tilsettes deler av vevsbiten forskjellige typer fargestoff som binder seg til ulike komponenter av kreftcellene. Det typiske for nevroendokrine kreftceller er at de fester til seg fargestoffer som binder seg til komponentene chromogranin og synaptofysin. Kombinasjonen av utseende i mikroskop og hvordan svulstvevet binder fargestoffer er grunnlaget for diagnosen.
Aggressivitet
Det er stor variasjon i nevroendokrine kreftsvulsters aggressivitet. Noen vokser så sakte at det er knapt målbare størrelsesendringer fra år til år og trenger ingen behandling. Andre vokser veldig fort og behandling må startes i løpet av noen dager før pasienten har blitt så dårlig at behandling ikke kan gis.
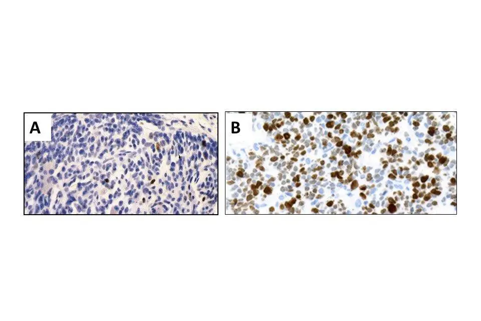
Ki-67%
For å vurdere aggressiviteten av svulsten tilsetter patologen fargestoff til vevsbiter fra svulsten som binder seg til kreftceller som er i celledelingsfase. Jo større andel av kreftceller som er i celledelingsdelingsfase jo fortere vil kreftsvulsten vokse. Denne aggressiviteten uttrykkes som Ki-67%. Er Ki-67 3% betyr det at 3% av kreftcellene er i celledelingsfase. Er Ki-67 65%, er 65% av kreftcellene i celledelingsfase.
Leveutsikten og behandlingsvalg avhenger i meget stor grad av hvilken Ki-67% man finner i pasientens svulst. Med få unntak er det helt vesentlig å få analysert vevsbiter fra pasientens svulst for å finne hvilken type nevroendokrin kreft som foreligger.

KI 67%. Bilder av nevroendokrine kreftsvulster sett gjennom mikroskop. A er en langsomtvoksende svulst med lav andel av kreftceller i celledelingsfase (de brune cellene). B er en hurtigvoksende svulst med svært mange kreftceller i celledelingsfase. Foto: Avdeling for patologi, Oslo Universtitetssykehus.
Utgangspunkt for svulsten
Terminologi
Man tilstreber nå å benytte uttrykket "nevroendokrine" som samlebetegnelse for kreft som har utgått fra hormonproduserende celler eller deres forstadier. Denne kreftgruppen, inkludert både de mer langsomtvoksende svulstene og de hurtigvoksende karsinomene, kalles nevroendokrine neoplasmer (neoplasme = nydannet vev). Nevroendokrin svulst betegner de langsomtvoksende neoplasmene (Grad 1-3).
Nevroendokrint karsinom betegner de hurtigvoksende og mer agressive neoplasmene.
Svulstene inndeles etter hvilket organ de har oppstått i, for eksempel nevroendokrin tynntarmssvulst eller nevroendokrin bukspyttkjertelsvulst.
Fra gammelt av ble de langsomtvoksende nevroendokrine svulstene (Grad 1–3) kalt "carcinoider" som betyr "kreftliknende". Dette uttrykket brukes nå lite, og da helst bare om nevroendokrine svulster fra lunge og blindtarm (appendix). Disse svulstene kalles da
- Lunge carcinoid
- Appendix carcinoid
- Insulinom: Insulinproduserende nevroendokrine svulster.
- Gastrinom: Gastrinproduserende nevroendokrine svulster.
- Glukagonom: -Glukagon produserende nevroendokrine svulster
- Nevroendokrin svulst grad 1: Høyt differensiert utseende i mikroskop, Ki-67 lavere enn 3 %.
- Nevroendokrin svulst grad 2: Høyt differensiert utseende i mikroskop, Ki-67 mellom 3 og 20%.
- Nevroendokrin svulst grad 3: Høyt differensiert utseende i mikroskop, Ki-67 over 20%.
- Nevroendokrint karsinom (NEC): Lavt differensiert utseende i mikroskop, Ki-67 over 20%.