Automated analysis of the right ventricle with efficient deep learning methods in 2D echocardiography
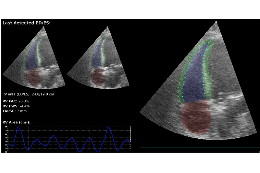
Right ventricular function is linked to exercise capacity and plays a key role in pulmonary diseases like COVID-19. It also serves as an important marker in the progression of heart diseases affecting other chambers. Current analysis tools are lagging in functionality for evaluating the right ventricle, often due to poor image quality. We propose AI algorithms as a solution, as they can detect patterns even in noisy recordings.

Our aim is to develop accurate, fast, and computationally efficient AI tools that can be integrated into a broad range of clinical settings and ultrasound devices.
Publications
- Segmentation of 2D cardiac ultrasound with deep learning: simpler models for a simple task (Link to publication)
- Automated Segmentation and Quantification of the Right Ventricle in 2-D Echocardiography (Link to publication)
- EchoTracker: Advancing Myocardial Point Tracking in Echocardiography (Link to publication)
Contributions
- Artem Chernyshov, Andreas Østvik, Erik Smistad, and Lasse Løvstakken, “Segmentation of 2D cardiac ultrasound with deep learning: simpler models for a simple task”, Poster, IEEE International Ultrasonics Symposium, Venice, 2022.
- Artem Chernyshov, Jahn Frederik Grue, John Nyberg, Andreas Østvik, Gilles van de Vyver, Erik Smistad, Lasse Løvstakken “Automated segmentation and quantification of the right ventricle in 2D echocardiography”, Online poster, IEEE International Ultrasonics Symposium, Montreal, 2023.
Researchers involved
- Artem Chernyshov, PhD fellow, NTNU
- John Nyberg, MD/PhD fellow, NTNU
- Main supervisor: Lasse Løvstakken, Professor, NTNU
- Co-supervisor: Bjørnar L. Grenne, MD/Associate Professor, NTNU, St.Olavs Hospital
- Co-supervisor: Andreas Østvik, Postdoctoral researcher, NTNU/Sintef
Collaborators
GE HealthCare/GE Vingmed Ultrasound and Simula research laboratory
Last updated 2/25/2025